-
By Jason S. Calhoun
Mayo Clinic Jacksonville, Florida - Uploaded on Jul 14, 2013.
- Last modified by Caroline Bozell on Jul 15, 2013.
- Rating
- Appears in
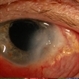
- Scleritis
- Condition/keywords
- scleritis
- Photographer
- Jason S. Calhoun, Department of Ophthalmology, Mayo Clinic Jacksonville, Florida
- Imaging device
-
Photo slit lamp biomicroscope
TOPCON D-90 SL NIKON CAMERA - Description
- Patient complains of severe eye pain with drainage. Eye is very red. Slit lamp photo shows active scleritis.

Initializing download.