- 
            
            By Jason S. Calhoun 
 Mayo Clinic Jacksonville, Florida
- Uploaded on Jul 14, 2013.
- Last modified by Caroline Bozell on Jul 15, 2013.
- Rating
- Appears in
- Retinal Neovascularization
- Condition/keywords
- retinal neovascularization
- Photographer
- Jason S. Calhoun, Department of Ophthalmology, Mayo Clinic Jacksonville, Florida
- Imaging device
- 
                Fundus camera
                
 TOPCON TRC 50-EX
- Description
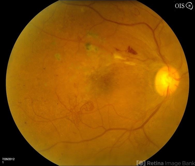
- Retinal neovascularization in the right eye.

 
        
 Initializing download.
                Initializing download. 
             
             
             
             
             
             
             
             
             
             
            