-
By Jason S. Calhoun
Mayo Clinic Jacksonville, Florida - Uploaded on Jul 14, 2013.
- Last modified by Caroline Bozell on Jul 15, 2013.
- Rating
- Appears in
- Embolis
- Condition/keywords
- embolic
- Photographer
- Jason S. Calhoun, Department of Ophthalmology, Mayo Clinic Jacksonville, Florida
- Imaging device
-
Fundus camera
TOPCON TRC 50-EX - Description
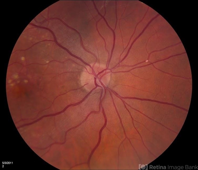
- Patient in for eye exam. Fundus photo shows emboli nasally in the artery of the right eye. Patient was sent for a carotid doppler to see if there are any blockages.

Initializing download.