-
By Jason S. Calhoun
Mayo Clinic Jacksonville, Florida - Uploaded on Jul 13, 2013.
- Last modified by Caroline Bozell on Jul 15, 2013.
- Rating
- Appears in
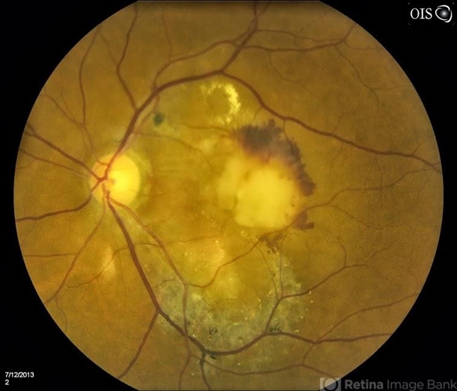
- Macular Degeneration (AMD)
- Condition/keywords
- choroidal neovascularization (CNV)
- Photographer
- Jason S. Calhoun, Department of Ophthalmology, Mayo Clinic Jacksonville, Florida
- Imaging device
-
Fundus camera
TOPCON TRC 50-EX - Description
- Active CNV in middle aged black female. Proceeded with Avastin injection.

Initializing download.