-
By Prema Abraham, MD
Black Hills Regional Eye Institute - Uploaded on Sep 17, 2012.
- Last modified by Prema Abraham, MD on Sep 24, 2012.
- Rating
- Appears in
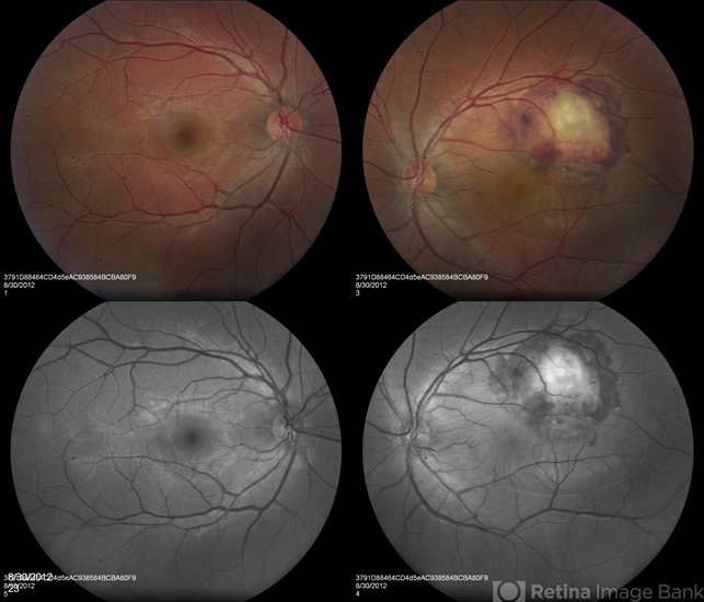
- Cystercercosis
- Condition/keywords
- cysticercosis
- Photographer
- Dan Parks, Black Hills Regional Eye Institute, Rapid City South Dakota
- Imaging device
-
Fundus camera
Topcon 50EX - Description
- Fundus photgraph of 25-year-old male with subretinal cystercercosis.

Initializing download.