-
By Jason S. Calhoun
Mayo Clinic Jacksonville, Florida - Uploaded on Jul 11, 2013.
- Last modified by Caroline Bozell on Jul 12, 2013.
- Rating
- Appears in
- Optic Nerve
- Condition/keywords
- high myopia
- Photographer
- Jason S. Calhoun, Department of Ophthalmology, Mayo Clinic Jacksonville, Florida
- Imaging device
- Fundus camera
- Description
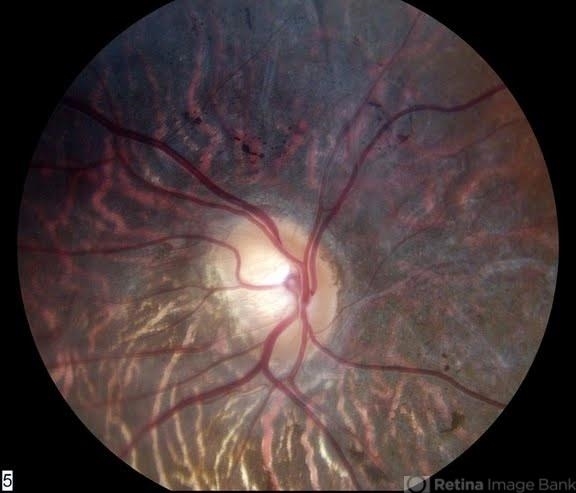
- Black female who has a myopic shift shows tilted optic disc in the right eye.

Initializing download.