-
By Jerald A. Bovino, MD
- Uploaded on Jul 11, 2013.
- Last modified by Caroline Bozell on Jul 11, 2013.
- Rating
- Appears in
- Miscellaneous
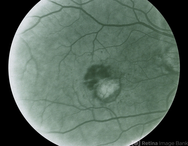
- Condition/keywords
- laser treatment, recurrence
- Description
- No history, this is before treatment.

Initializing download.