-
By Roy D. Brod, MD
Penn State Hershey Medical Center - Uploaded on Sep 15, 2012.
- Last modified by Jennifer Hicks on Sep 18, 2012.
- Rating
- Appears in
- Miscellaneous
- Condition/keywords
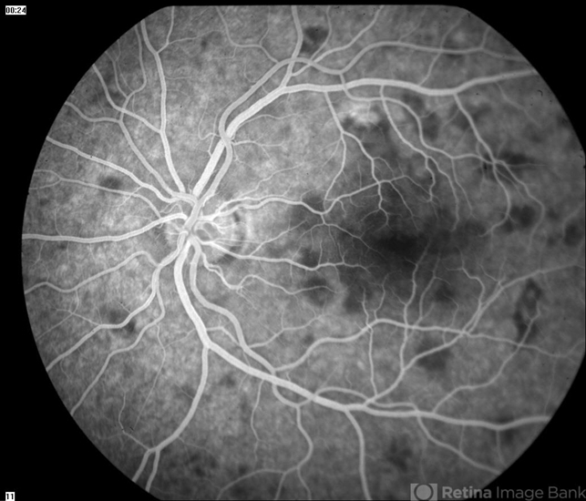
- hypofluorescent lesions, multifocal hypofluorescent lesions
- Photographer
- Julia Walker
- Imaging device
- Fundus camera
- Description
- Mid phase fluorescein angiogram demonstrating multifocal hypofluorescent lesions in left eye.

Initializing download.