-
By Deepak Bhojwani, MS
- Uploaded on Apr 3, 2021.
- Last modified by Caroline Bozell on Apr 5, 2021.
- Rating
- Appears in
- Miscellaneous
- Condition/keywords
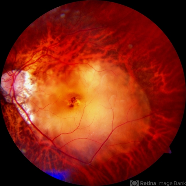
- myopia, macular hole
- Photographer
- DEEPAK BHOJWANI FOR OCCURA EYE CARE
- Imaging device
- Fundus camera
- Description
- Fundus image of a 53-year-old myopic lady with macular hole related retinal detachment.

Initializing download.