-
By Deepak Bhojwani, MS
- Uploaded on Mar 15, 2021.
- Last modified by Caroline Bozell on Mar 16, 2021.
- Rating
- Appears in
- Miscellaneous
- Condition/keywords
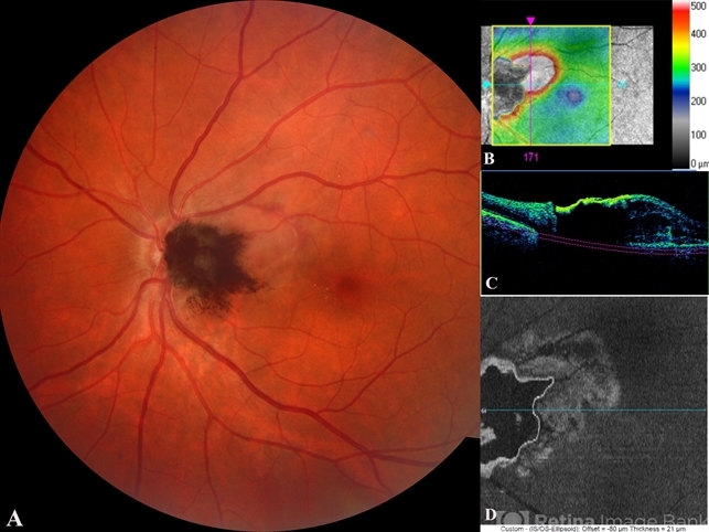
- melanocytoma, optic nerve head
- Description
- ONH melanocytoma multimodal imaging.

Initializing download.