- 
            
             By Howard Schatz, MD By Howard Schatz, MD
- Uploaded on May 17, 2013.
- Last modified by Caroline Bozell on May 17, 2013.
- Rating
- Appears in
- IG
- Condition/keywords
- IG, steroids
- Description
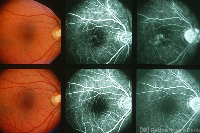
- 66-year-old white female, III IG (steroids); 20/20; 20/13.

 
        
 Initializing download.
                Initializing download. 
             
             
             
             
             
             
             
             
             
             
            