-
By Thomas A. Ciulla, MD, MBA, FASRS
Indiana University School of Medicine - Uploaded on Oct 25, 2020.
- Last modified by Thomas A. Ciulla, MD, MBA, FASRS on Oct 27, 2020.
- Rating
- Appears in
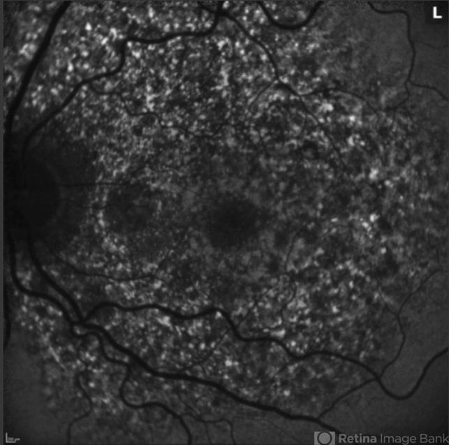
- Pentosan Macuopathy
- Condition/keywords
- pentosan sulfate
- Imaging device
- Scanning laser ophthalmoscope
- Description
- 56-year-old woman with prior long term use of pentosan for cystitis. She self discontinued the pentosan 1 year ago. Imaging shows patch RPE atrophy OU with a ¾ DA patch of geo atrophy OS. Autofluorescence shows punctate hyperautoflouresence and FA shows staining of RPE mottling with reticular features.