-
By Ahmad B. Tarabishy, MD
Retina Specialists of Tampa
Co-author(s): Dr. Ahmad Tarabishy, Retina Specialists of Tampa - Uploaded on Oct 11, 2020.
- Last modified by Ahmad B. Tarabishy, MD on Oct 29, 2021.
- Rating
- Appears in
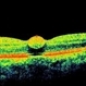
- SubILM hemorrhage
- Condition/keywords
- sub-inner limiting membrane hemorrhage
- Photographer
- Steve Morris COA, Retina Specialists of Tampa
- Imaging device
-
Fundus camera
Zeiss Cirrus Photo - Description
- 41-year-old gentleman with decreased vision following a motorcycle accident. Examination initially was 20/200 and improved without treatment to 20/40 over two months.

Initializing download.