-
By Ratimir Lazic, MD, PhD
Eye Clinic Svjetlost
Co-author(s): Marko Lukic, MD - Uploaded on Sep 8, 2012.
- Last modified by Ratimir Lazic, MD, PhD on Sep 11, 2012.
- Rating
- Appears in
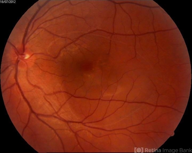
- Central Serous Retinopathy _CSR
- Condition/keywords
- central serous chorioretinopathy (CSCR)
- Photographer
- Ratimir Lazic, PhD MD
- Imaging device
-
Fundus camera
Zeis Visucam Lite 2 - Description
- color image of a 31 - year - old male. Subretinal fluid due to CSR

Initializing download.