- 
            
             By Anamika Dwivedi By Anamika Dwivedi
 Shyam Shah Medical college, Rewa, MP, India
- Uploaded on Sep 10, 2020.
- Last modified by Caroline Bozell on Sep 10, 2020.
- Rating
- Appears in
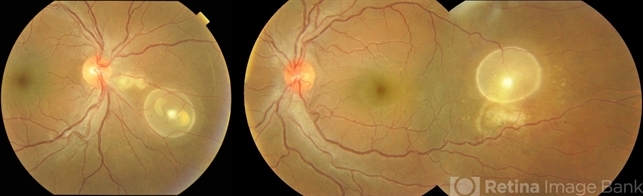
- subretinal cysticercosis
- Condition/keywords
- bilateral subretinal cysticercosis
- Photographer
- Dr Anamika Dwivedi
- Imaging device
- 
                Fundus camera
                
 topcon
- Description
- Fundus photograph of a 22-year-old male, who was referred from physician as a case of headache under evaluation, with a history of headache for 1 month. Fundus showing bilateral subretinal cysticercus cyst with scolex.

 
        
 Initializing download.
                Initializing download. 
            