-
By Howard Schatz, MD
- Uploaded on Apr 29, 2013.
- Last modified by Caroline Bozell on Apr 29, 2013.
- Rating
- Appears in
- GHPC
- Condition/keywords
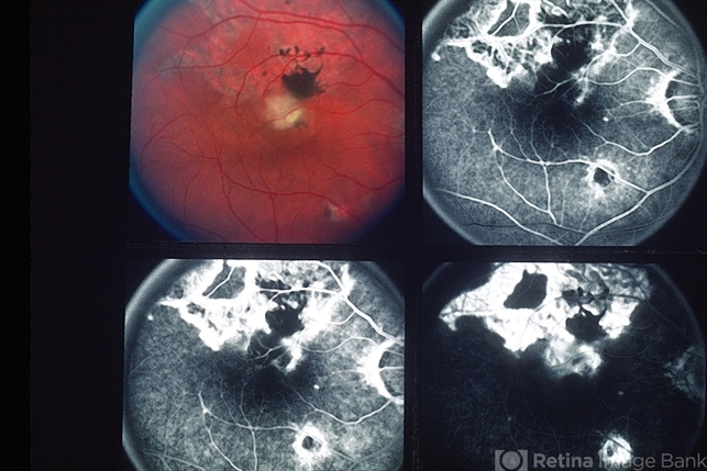
- subretinal neovascularization (SRNV), geographic helicoid peripapillary choroidopathy (GHPC)
- Description
- 1 day post Rx for SRNV-GHPC.

Initializing download.