-
By Howard Schatz, MD
- Uploaded on Apr 25, 2013.
- Last modified by Caroline Bozell on Apr 26, 2013.
- Rating
- Appears in
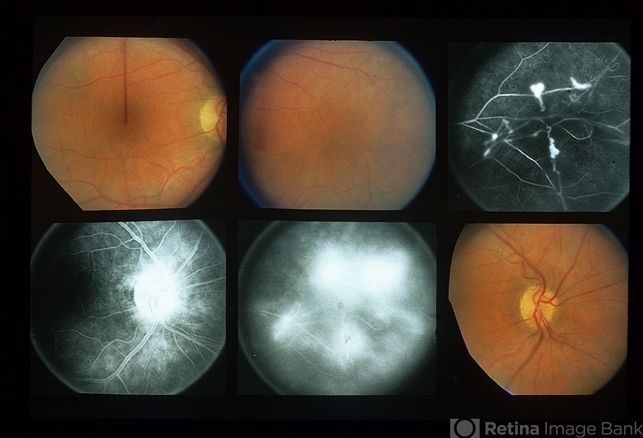
- Eales Disease
- Condition/keywords
- Eales disease
- Description
- 37-year-old white female, III Eales, right eye: 20/30; left eye: 20/40.

Initializing download.