-
By Howard Schatz, MD
- Uploaded on Apr 25, 2013.
- Last modified by Caroline Bozell on Apr 25, 2013.
- Rating
- Appears in
- DUSN
- Condition/keywords
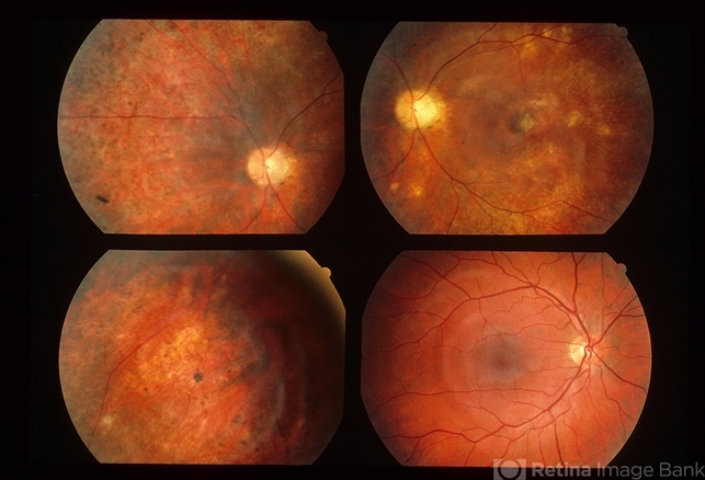
- diffuse unilateral subacute neuroretinitis (DUSN)
- Description
- 23-year-old white male, III DUSN, right eye: 20/50; left eye: 20/50.

Initializing download.