-
By Howard Schatz, MD
- Uploaded on Apr 23, 2013.
- Last modified by Caroline Bozell on Apr 23, 2013.
- Rating
- Appears in
- Candida
- Condition/keywords
- candida endophthalmitis
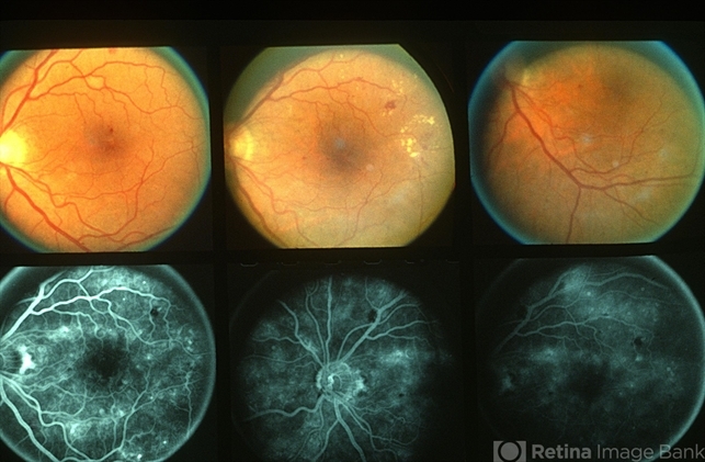
- Description
- 52-year-old white female, III candida, right eye: 20/50; left eye: 20/40.

Initializing download.