-
By Howard Schatz, MD
- Uploaded on Apr 23, 2013.
- Last modified by Caroline Bozell on Apr 23, 2013.
- Rating
- Appears in
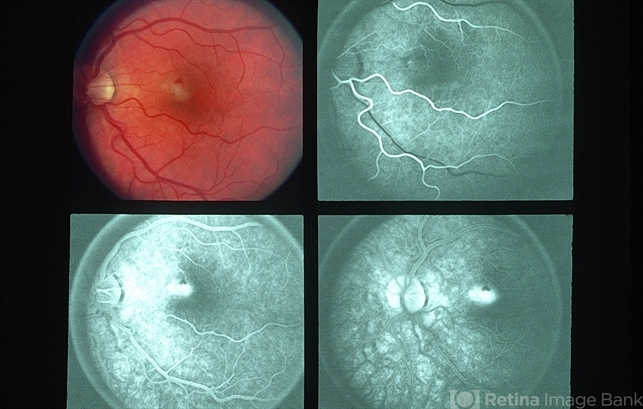
- Candida
- Condition/keywords
- candida endophthalmitis, choroidal neovascularization (CNV)
- Description
- 23-year-old white male, IV candida CNV, 20/15; 20/70.

Initializing download.