-
By Young-Gyun Kim, MD
Kyung Hee University Hospital at Gangdong - Uploaded on Mar 9, 2013.
- Last modified by Caroline Bozell on Mar 11, 2013.
- Reviewed by Caroline Bozell
- Rating
- Appears in
- Miscellaneous
- Condition/keywords
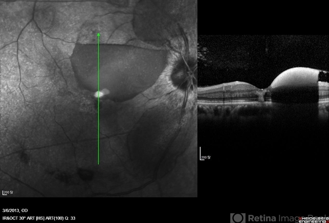
- Terson's Syndrome, sub-inner limiting membrane hemorrhage
- Photographer
- Shin Ji-Young, Eulji university, Seoul
- Imaging device
-
Optical coherence tomography system
Heidelberg Spectralis - Description
- OCT image of a 56-year-old woman with a sub-ILM hemorrhage. She has subarachnoid hemorrhage.

Initializing download.