-
By Deepak Bhojwani, MS
- Uploaded on Feb 4, 2020.
- Last modified by Caroline Bozell on Feb 4, 2020.
- Rating
- Appears in
- Miscellaneous
- Condition/keywords
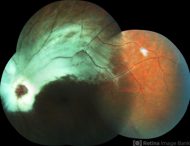
- myelinated nerve fibers
- Photographer
- DEEPAK BHOJWANI
- Imaging device
- Fundus camera
- Description
- Fundus image of a 18-year-old boy with poor vision in left eye since childhood.

Initializing download.