-
By From the Collections of Thomas M. Aaberg, MD and Thomas M. Aaberg Jr., MD
- Uploaded on Feb 20, 2013.
- Last modified by Caroline Bozell on Apr 11, 2013.
- Rating
- Appears in
- Miscellaneous
- Condition/keywords
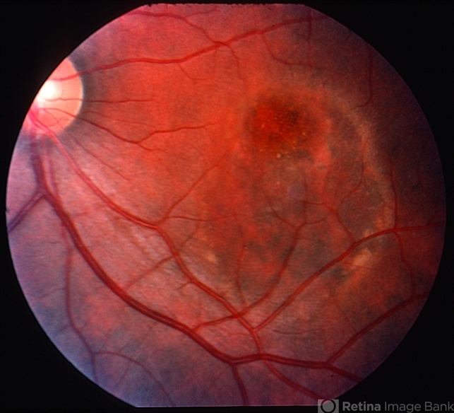
- chronic central serous chorioretinopathy (CSCR), color photo, stereo pair
- Description
- Stereo pair color fundus photo of OS of probable bilateral chronic CSR at the macula.

Initializing download.