-
By From the Collections of Thomas M. Aaberg, MD and Thomas M. Aaberg Jr., MD
- Uploaded on Feb 19, 2013.
- Last modified by Chayal Patel on Apr 2, 2013.
- Rating
- Appears in
- Miscellaneous
- Condition/keywords
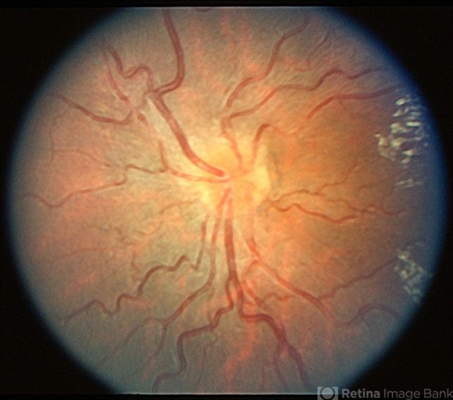
- hypertensive retinopathy, optic nerve hypoplasia
- Description
- Optic nerve is smaller (2.4/4.0 ratio) than other eye . Also hypertensive retinopathy.

Initializing download.