-
By Jeffrey G. Gross, MD, FASRS
- Uploaded on Oct 22, 2019.
- Last modified by Caroline Bozell on Oct 24, 2019.
- Rating
- Appears in
- Miscellaneous
- Condition/keywords
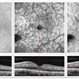
- retinal ischemia, paracentral acute middle maculopathy
- Photographer
- Tammy McLaughlin
- Imaging device
- Heidelberg Spectralis
- Description
- Fundus autofluorescence photograph of 75-year-old white male with 6 day history of acute vision loss. 20/40

Initializing download.