- 
            
             By From the Collections of Thomas M. Aaberg, MD and Thomas M. Aaberg Jr., MD By From the Collections of Thomas M. Aaberg, MD and Thomas M. Aaberg Jr., MD
- Uploaded on Feb 15, 2013.
- Last modified by Sam Trybalski on May 31, 2013.
- Rating
- Appears in
- Miscellaneous
- Condition/keywords
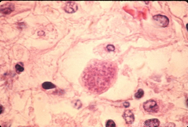
- histopathology, toxoplasmosis
- Description
- Photomicrograph of a brain biopsy showing a Toxoplasma cyst.

 
        
 Initializing download.
                Initializing download. 
             
             
             
             
             
             
             
             
             
             
            