-
By John S. King, MD
Retina Associates, PA - Uploaded on Oct 12, 2019.
- Last modified by Caroline Bozell on Oct 15, 2019.
- Rating
- Appears in
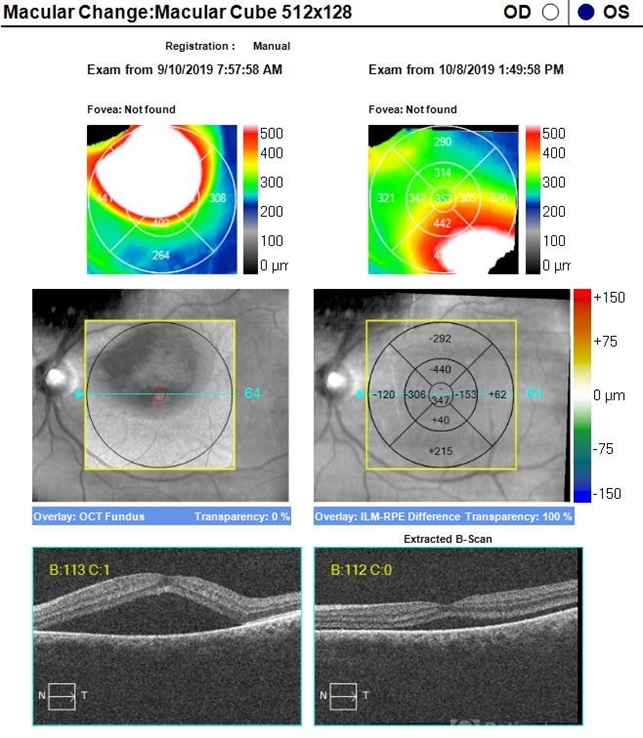
- Circumscribed Choroidal Hemangioma
- Condition/keywords
- choroidal hemangioma, photodynamic therapy
- Photographer
- Shelly Blair
- Imaging device
- Optical coherence tomography system
- Description
- 67-year-old white male with 6 days of decreased vision and known history of choroidal hemangioma, who had received PDT years ago for symptomatic SRF, had recurrence of SRF. PDT was applied to the lesion and one month later there is less subfoveal SRF (see image), and vision has increased to 20/50 from 20/150. Will follow up in a month.

Initializing download.