-
By From the Collections of Thomas M. Aaberg, MD and Thomas M. Aaberg Jr., MD
- Uploaded on Feb 15, 2013.
- Last modified by Sam Trybalski on May 31, 2013.
- Rating
- Appears in
- Miscellaneous
- Condition/keywords
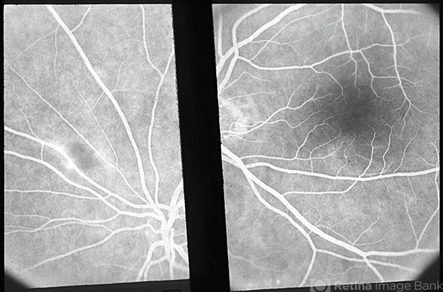
- acute retinal necrosis
- Description
- early phase FA corresponding to slide 55, showing punctate hyperfluorescence consistent with microvascular damage and staining of areas of retinal necrosis

Initializing download.