-
By From the Collections of Thomas M. Aaberg, MD and Thomas M. Aaberg Jr., MD
- Uploaded on Feb 14, 2013.
- Last modified by Caroline Bozell on Apr 5, 2013.
- Rating
- Appears in
- Miscellaneous
- Condition/keywords
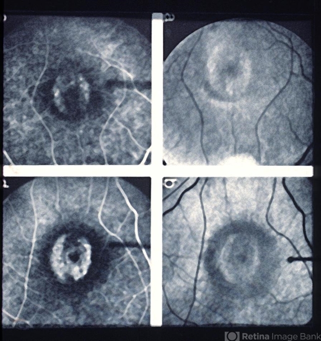
- chloroquine toxicity, drug toxicity, bull's eye maculopathy
- Description
- Early mid-phase and late angiogram.

Initializing download.