-
By Haider Ali
- Uploaded on Sep 22, 2019.
- Last modified by Caroline Bozell on Sep 24, 2019.
- Rating
- Appears in
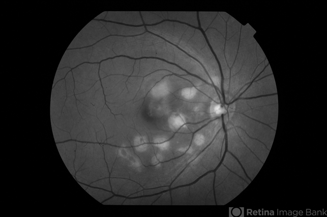
- Serpiginous Choroiditis
- Condition/keywords
- serpiginous choroiditis, macula serpiginous choroidopathy, white dot syndrome, acute posterior multifocal placoid pigment epitheliopathy (APMPPE)
- Photographer
- Dr Haider Ali Chaudhry, Madinah Teaching Hospital, Faisalabad
- Imaging device
- Fundus camera
- Description
- 35-year-old female presented with decrease in vision in her left eye for last 4 days and in right eye for last 8 days. Her right eye was previously involved in a similar episode about 5-6 months ago for which she was treated with oral steroids.

Initializing download.