-
By From the Collections of Thomas M. Aaberg, MD and Thomas M. Aaberg Jr., MD
- Uploaded on Feb 13, 2013.
- Last modified by Caroline Bozell on Mar 29, 2013.
- Reviewed by Caroline Bozell
- Rating
- Appears in
- Miscellaneous
- Condition/keywords
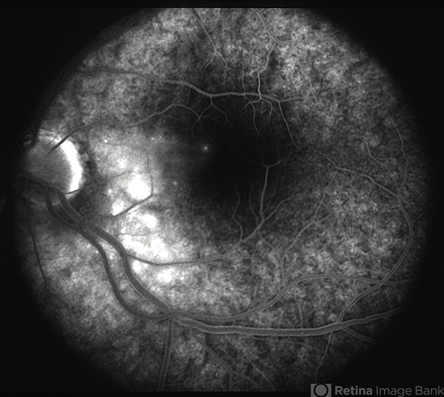
- pseudotumor, patchy choroidal filling
- Description
- FA, enlarged FA2, patchy choroidal filled.

Initializing download.