-
By Geoffrey G. Emerson, MD, PhD, FASRS
VitreoRetinal Surgery PLLC dba Retina Consultants of Minnesota
Co-author(s): Richard Weleber, MD, Casey Eye Institute, Portland, OR - Uploaded on Aug 24, 2012.
- Last modified by Geoffrey G. Emerson, MD, PhD, FASRS on Aug 24, 2012.
- Rating
- Appears in
- Miscellaneous
- Condition/keywords
- scotoma
- Photographer
- Geoffrey Emerson, MD, PhD, Retina Center, Minneapolis
- Description
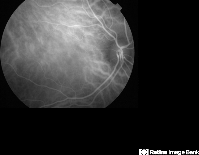
- A 17-year-old healthy woman noticed a pacman-shaped scotoma in her temporal right vision. Acuity measured 20/20 and color vision measured 11/11. Indocyanine angiography was unremarkable.

Initializing download.