-
By Alex P. Hunyor, MD
Retina Associates
Co-author(s): From the slide collection of Dr ABL Hunyor - Uploaded on Jan 11, 2013.
- Last modified by Alex P. Hunyor, MD on Sep 26, 2013.
- Rating
- Appears in
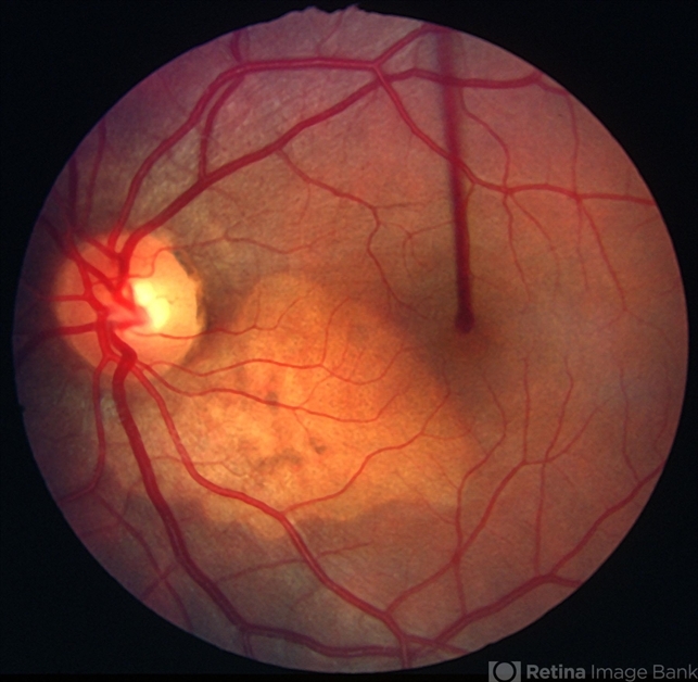
- Choroidal osteoma
- Condition/keywords
- choroidal osteoma
- Imaging device
- Fundus camera
- Description
- Bilateral choroidal osteoma in a young female. Image 3 of 4 showing growth of the osteoma over a 2-year period in the left eye.

Initializing download.