-
By Alex P. Hunyor, MD
Retina Associates
Co-author(s): From the slide collection of Dr ABL Hunyor - Uploaded on Jan 11, 2013.
- Last modified by Alex P. Hunyor, MD on Mar 2, 2013.
- Reviewed by Alex P. Hunyor, MD
- Rating
- Appears in
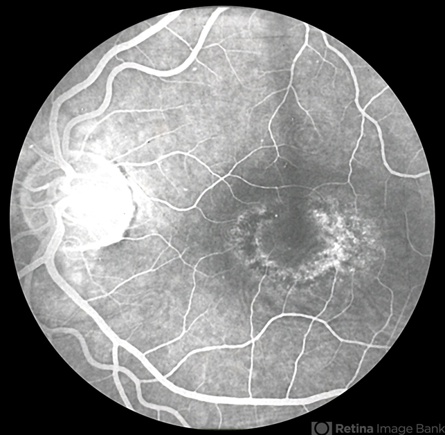
- Chloroquine maculopathy
- Condition/keywords
- chloroquine maculopathy, chloroquine toxicity
- Imaging device
- Fundus camera
- Description
- Chloroquine maculopathy 6 - fluorescein angiogram, left eye.

Initializing download.