-
By John S. King, MD
Retina Associates, PA - Uploaded on Jun 1, 2019.
- Last modified by Caroline Bozell on Jun 4, 2019.
- Rating
- Appears in
- Miscellaneous
- Condition/keywords
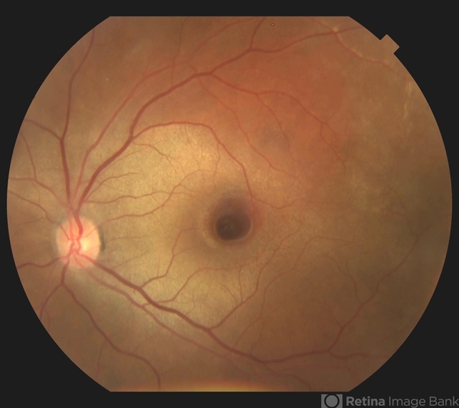
- macular pseudohole, commotio retinae, subretinal hemorrhage, blunt trauma
- Photographer
- Stacey Coleman
- Imaging device
-
Fundus camera
Topcon - Description
- 39-year-old African American female with central scotoma two days since blunt head injury in MVA, sent for evaluation of macular hole. 20/150 OS with IOP 12 and no RAPD. No macular hole present. Macular findings include commotio retinae and subfoveal hemorrhage.

Initializing download.