-
By Deepak Bhojwani, MS
- Uploaded on May 10, 2019.
- Last modified by Caroline Bozell on May 10, 2019.
- Rating
- Appears in
- Miscellaneous
- Condition/keywords
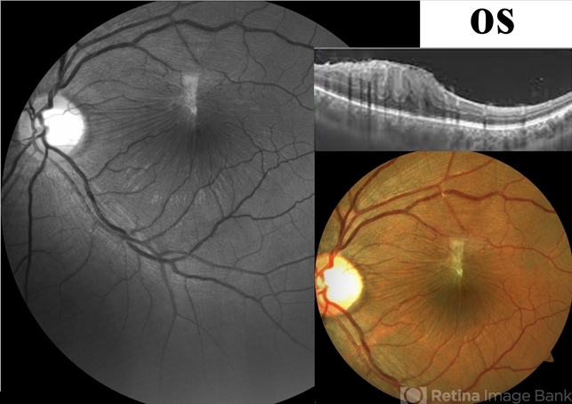
- retina, tumor, combined hamartoma, retinal pigment epithelium
- Photographer
- Deepak Bhojwani, Raghudeep Eye Hospital, Ahmedabad
- Imaging device
-
Fundus camera
Zeiss Viscam 500 - Description
- A 31-year-old male came with incidental finding of poor vision in left eye on his screening eye examination (done for job purpose). His left eye depicts classic combined hamartoma of retina and RPE in left eye. Right examination was unremarkable.

Initializing download.