- 
            
             By Bastián Schmidt Arias By Bastián Schmidt Arias
 Universidad Austral de Chile
- Uploaded on Apr 28, 2019.
- Last modified by Caroline Bozell on Apr 30, 2019.
- Rating
- Appears in
- Miscellaneous
- Condition/keywords
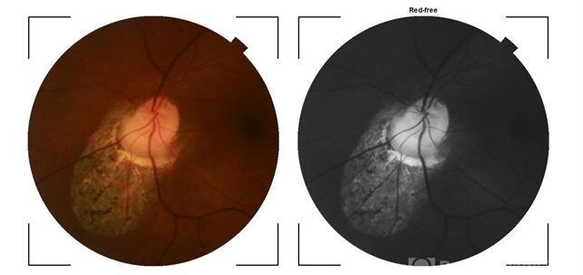
- coloboma of optic disc
- Photographer
- Bastian Schmidt
- Imaging device
- Fundus camera
- Description
- Fundus photograph of an 63-year-old woman with retinal coloboma.

 
        
 Initializing download.
                Initializing download. 
             
             
             
             
             
             
             
             
            