-
By Humberto Ruiz-Garcia, MD
- Uploaded on Dec 31, 2012.
- Last modified by Chayal Patel on Jan 3, 2013.
- Reviewed by Chayal Patel
- Rating
- Appears in
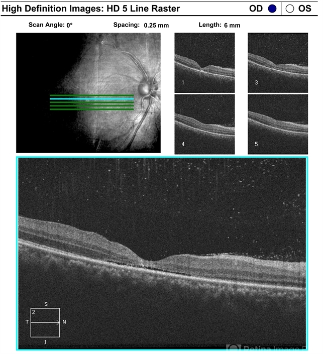
- Choroidal rupture subretinal and vitreous hemorrhage secondary to blunt trauma
- Condition/keywords
- optical coherence tomography (OCT), blunt trauma, macular hole
- Photographer
- Humberto Ruiz-Garcia
- Imaging device
-
Optical coherence tomography system
Cirrus HD OCT - Description
- One week after blunt trauma, closure of macular hole is seen, persistent thinning and subretinal fluid are observed. Vision is CF.

Initializing download.