-
By Gary R. Cook, MD, FACS
- Uploaded on Mar 26, 2019.
- Last modified by Caroline Bozell on Aug 8, 2019.
- Rating
- Appears in
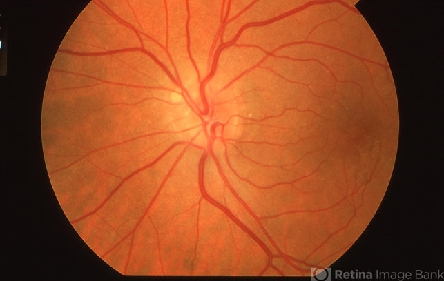
- DRUSEN OF OPTIC DISC
- Condition/keywords
- drusen of optic disc, optic disc drusen
- Imaging device
-
Fundus camera
Topcon VT-50 - Description
- Left eye of a 60-year-old white male with bilateral optic disc drusen; VA= 20/15.

Initializing download.