-
By Lancaster Course in Ophthalmology
1980 - Uploaded on Mar 4, 2019.
- Last modified by Caroline Bozell on Mar 12, 2019.
- Rating
- Appears in
- Unit 13 Retinoblastoma and Pseudoglioma
- Condition/keywords
- retinoblastoma
- Description
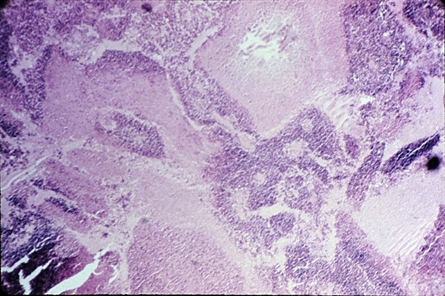
- Low-power view of a necrotic retinoblastoma with bands of darker, viable cells surrounding blood vessels ( x25).

Initializing download.