-
By Alex P. Hunyor, MD
Retina Associates - Uploaded on Dec 25, 2012.
- Last modified by Chayal Patel on Dec 26, 2012.
- Reviewed by Chayal Patel
- Rating
- Appears in
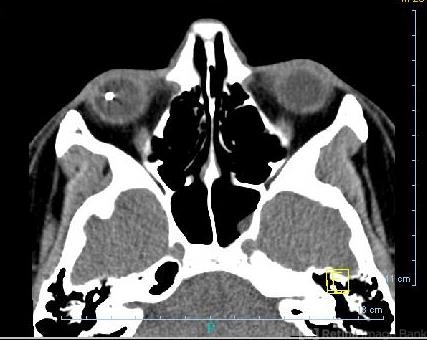
- Intraocular foreign body
- Condition/keywords
- intraocular foreign body
- Imaging device
- CT scan
- Description
- Axial CT scan showing right metallic intraocular foreign body.

Initializing download.