-
By Lancaster Course in Ophthalmology
1980 - Uploaded on Feb 20, 2019.
- Last modified by Caroline Bozell on Feb 28, 2019.
- Rating
- Appears in
- Unit 04 Congenital Anomalies and the Phakomatoses
- Condition/keywords
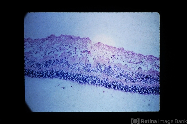
- juvenile retinoschisis
- Description
- Juvenile retinoschisis. Histologic section showing the level of splitting in juvenile retinoschisis {x40). The split is in the nerve fiber layer. In senile retinoschisis, splitting occurs in the outer plexiform layer. {Scheie Eye Institute, No. 2480.)

Initializing download.