-
By Deepak Bhojwani, MS
- Uploaded on Dec 17, 2018.
- Last modified by Caroline Bozell on Dec 18, 2018.
- Rating
- Appears in
- Miscellaneous
- Condition/keywords
- Stargardt disease, macular dystrophy, autofluorescence imaging
- Photographer
- Dr. Deepak Bhojwani
- Imaging device
-
Fundus camera
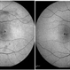
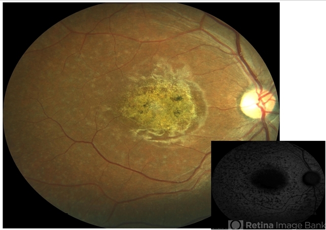
AUTO FLOROSCENCE IMAGING - Description
- Fundus image and autofluorescent image of right eye of a 26-year-old male with large area of RPE atrophy over macular region surrounded by pisciform flecks. Note the flecks are better appreciated on autofluorescence images (classic hypofluorescent pisciform lesions).

Initializing download.