-
By Nishikant J Borse, MS, FMRF, FASRS
Insight Eye Clinic Mumbai - Uploaded on Oct 5, 2018.
- Last modified by Caroline Bozell on Oct 5, 2018.
- Rating
- Appears in
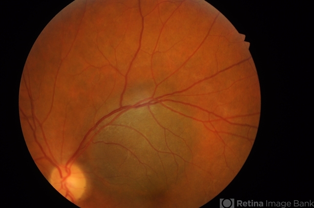
- Choroidal Melanoma
- Photographer
- Dr Nishikant borse
- Imaging device
-
Fundus camera
Kowa - Description
- Choroidal melanoma in a 42-year-old male. Unfortunately this left eye is the only good eye. The right eye has optic atrophy.

Initializing download.