-
By Gerardo Garcia-Aguirre, MD
Asociacion para Evitar la Ceguera en Mexico - Uploaded on Aug 23, 2012.
- Last modified by Gerardo Garcia-Aguirre, MD on Oct 9, 2012.
- Rating
- Appears in
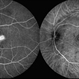
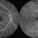
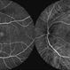
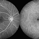
- Type 2 Idiopathic Parafoveal Telangiectasia
- Condition/keywords
- idiopathic macular telangiectasia, crystals, fovea, pigment migration
- Photographer
- Ricardo Montoya, Asociación para Evitar la Ceguera en México
- Imaging device
-
Fundus camera
Zeiss FF4 - Description
- Fundus photograph showing pigment migration and crystals in the temporal aspect of the fovea.

Initializing download.