
File number: 28545
Comments
-
Caroline K. Chee, MBBS, FRCSEd, FRCOph (June 2 2024)
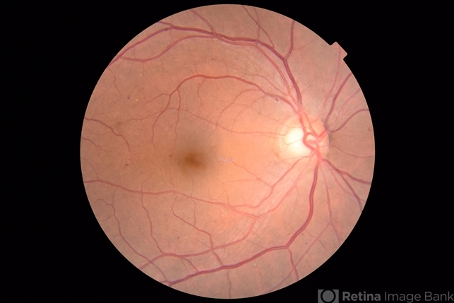
This looks like mild NPDR with dot haemorrhages and microaneurysms and one small hard exudate
Sign in to comment.
-
By Timothy Adeyemo
- Uploaded on Aug 30, 2018.
- Last modified by Caroline Bozell on Aug 31, 2018.
- Rating
- Appears in
- Miscellaneous
- Condition/keywords
- normal retina
- Photographer
- Adeyemo Timothy, National Eye Centre, Kaduna, Nigeria.
- Imaging device
-
Fundus camera
Topcon's TRC- NW8 plus - Description
- Fundus photograph of a healthy 31-year-old lady being examined for glaucoma.