- 
            
             By Karen Panzegrau By Karen Panzegrau
 Retina Specialists of Michigan
- Uploaded on Jul 10, 2018.
- Last modified by Caroline Bozell on Jul 10, 2018.
- Rating
- Appears in
- Miscellaneous
- Condition/keywords
- vitreous hemorrhage, optical coherence tomography (OCT), Heidelburg Spectralis, proliferative diabetic retinopathy (PDR), diabetes, left eye, posterior vitreous detachment
- Photographer
- Karen Panzegrau
- Imaging device
- Optical coherence tomography system
- Description
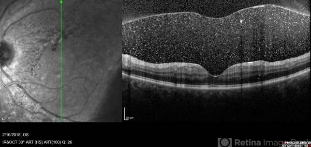
- SD-OCT of a 35-year-old female presenting with a vitreous hemorrhage of her left eye. Patient has active proliferative diabetic retinopathy, as well as a completed posterior vitreous detachment in the left eye.

 
        
 Initializing download.
                Initializing download. 
             
             
             
             
             
             
             
             
             
            