-
By Gerardo Garcia-Aguirre, MD
Asociacion para Evitar la Ceguera en Mexico - Uploaded on Aug 23, 2012.
- Last modified by Gerardo Garcia-Aguirre, MD on Oct 9, 2012.
- Rating
- Appears in
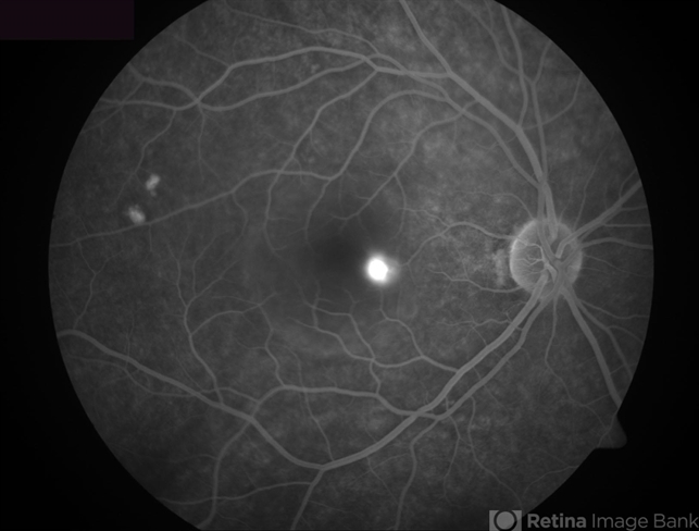
- Central Serous Chorioretinopathy
- Condition/keywords
- central serous chorioretinopathy (CSCR)
- Photographer
- Noemí Hernández, Asociación para Evitar la Ceguera en México
- Imaging device
-
Fundus camera
Zeiss FF4 - Description
- Fluorescein angiogram, late phase, showing hyperfluorescent spot, larger than earlier phases.

Initializing download.