-
By Hosam Attia, MD
- Uploaded on Jun 4, 2018.
- Last modified by Caroline Bozell on Jun 5, 2018.
- Rating
- Appears in
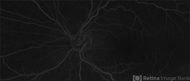
- HTN Retinopathy with Prepapillary vascular loop
- Condition/keywords
- prepapillary vascular loop, congenital prepapillary vascular loop, congenital prepapillary vascular anomaly
- Imaging device
-
Scanning laser ophthalmoscope
Optos California - Description
- Late phase, ultra-wide fluorescein angiogram of a 53-year-old, African American male with history of diabetes, hypertension, depicting chronic hypertensive retinopathy changes and unilateral pre-papillary vascular loop OS.

Initializing download.