-
By Gerardo Garcia-Aguirre, MD
Asociacion para Evitar la Ceguera en Mexico - Uploaded on Aug 23, 2012.
- Last modified by Gerardo Garcia-Aguirre, MD on Jan 11, 2013.
- Rating
- Appears in
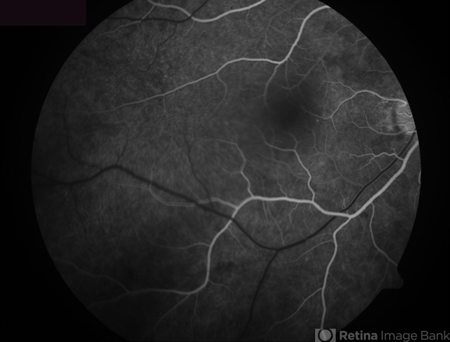
- Central Serous Chorioretinopathy
- Condition/keywords
- central serous chorioretinopathy (CSCR)
- Photographer
- Noemí Hernández, Asociación para Evitar la Ceguera en México
- Imaging device
-
Fundus camera
Zeiss FF4 - Description
- Fluorescein angiogram, early phase, showing a very small hyperfluorescent spot nasal to the fovea.

Initializing download.